logo inutero

  • ΙΑΤΡΟΣ
    • Αντωνία Βαρθαλίτη
    • Η ομάδα μας
      • Κωνσταντίνος Σταθογιάννης ΚΑΡΔΙΟΛΟΓΟΣ
      • Αρσινόη - Δήμητρα ΝτάσκαρηΔΕΡΜΑΤΟΛΟΓΟΣ - ΑΦΡΟΔΙΟΣΙΟΛΟΓΟΣ
      • Βασίλειος ΛυγίζοςΜΑΙΕΥΤΗΡΑΣ - ΧΕΙΡΟΥΡΓΟΣ ΓΥΝΑΙΚΟΛΟΓΟΣ
      • Δήμητρα ΖαχοπούλουΚΑΘΗΓΗΤΡΙΑ ΜΠΑΛΕΤΟΥ
  • ΕΜΒΡΥΟΜΗΤΡΙΚΗ
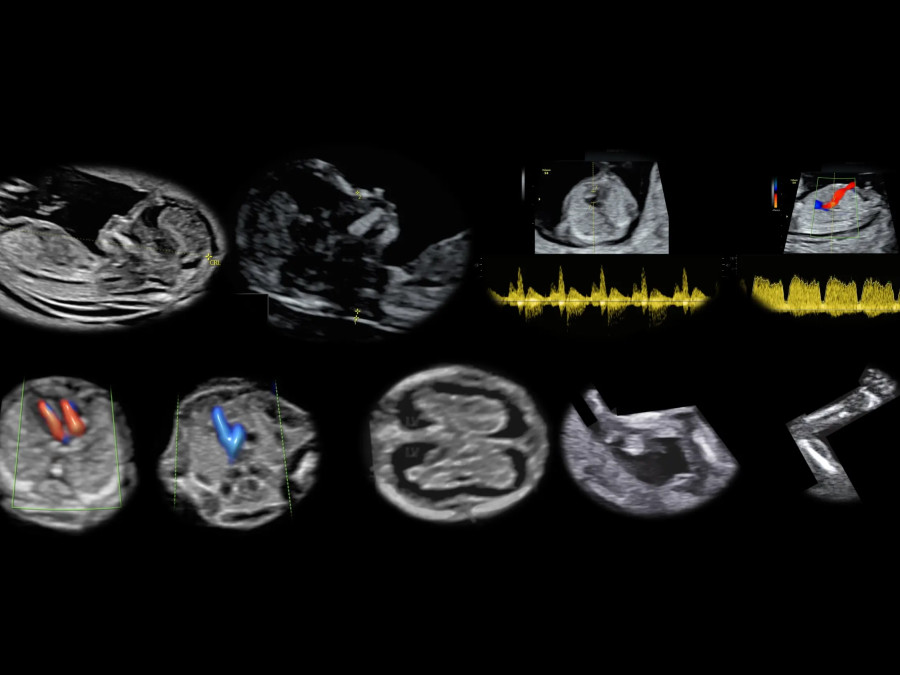
    • Υπερηχογραφήματα
      • Υπερηχογράφημα αρχόμενης κύησης
      • Αυχενική διαφάνεια
      • Υπερηχογράφημα ανατομίας Β’ επιπέδου
      • Υπερηχογράφημα ανάπτυξης Doppler
      • Μέτρηση μήκους τραχήλου
      • 3D / 4D υπερηχογράφημα εμβρύου
    • Μη επεμβατικός προγεννητικός έλεγχος (NIPT / Cell-free DNA)
    • Επεμβατικός προγεννητικός έλεγχος
      • Λήψη χοριακών λαχνών (τροφοβλάστης)
      • Αμνιοπαρακέντηση
      • Λήψη εμβρυϊκού αίματος
    • Εμβρυϊκές θεραπείες
      • Laser σε μονοχοριακά δίδυμα
      • Ενδομήτρια εμβρυϊκή μετάγγιση
      • Άλλες ενδομήτριες θεραπείες
  • ΜΑΙΕΥΤΙΚΗ
    • Παρακολούθηση κύησης
      • Ανεπίπλεκτη κύηση
      • Κύηση υψηλού κινδύνου
    • Τοκετός
      • Φυσιολογικός Τοκετός
      • Καισαρική τομή
      • Κολπικός τοκετός μετά από καισαρική τομή (VBAC)
    • Θηλασμός
  • ΓΥΝΑΙΚΟΛΟΓΙΑ
    • Γυναικολογικός έλεγχος
      • Τεστ Παπανικολάου
      • HPV-DNA test
      • HPV mRNA τεστ
      • Κολποσκόπηση
      • Καλλιέργειες κολπικού υγρού
      • Γυναικολογικό υπερηχογράφημα
    • Γυναικολογικές διαταραχές
      • Σεξουαλικώς μεταδιδόμενα νοσήματα
      • Καλοήθεις γυναικολογικές παθήσεις
      • Διαταραχές εμμήνου ρύσεως
      • Εμμηνόπαυση
      • Ακράτεια ούρων
      • Πρόπτωση γεννητικών οργάνων
    • Αντισύλληψη
    • Υπογονιμότητα
    • Γυναικολογικές επεμβάσεις
      • Κωνοειδής εκτομή τραχήλου
      • Υστεροσκόπηση
      • Απόξεση
      • Υστερεκτομή
      • Κολπορραφία
      • Ταινία ακράτειας
      • Εκπυρήνιση ινομυωμάτων
      • Λαπαροσκόπηση
  • ΝΕΑ
  • ΕΠΙΚΟΙΝΩΝΙΑ

Υπερηχογραφήματα

Αυχενική διαφάνεια

Υπερηχογράφημα ανατομίας Β’ επιπέδου

Υπερηχογράφημα ανάπτυξης Doppler

Μέτρηση μήκους τραχήλου

3D / 4D υπερηχογράφημα εμβρύου

Υπερηχογράφημα αρχόμενης κύησης

logo

  • Υπερηχογραφήματα
  • NIPT
  • Επεμβατικός Προγεννητικός Έλεγχος
  • Εμβρυϊκές Θεραπείες
  • Βασ.Σοφίας 110, Αθήνα, 11527
  • +30 6984191957
  • antonia.varthaliti@hotmail.com

Ακολουθήστε μας στα Social Media

Επικοινωνήστε μαζί μας

Η παρούσα ιστοσελίδα παρέχει πληροφορίες σχετικά με θέματα εμβρυομητρικής ιατρικής, μαιευτικής και γυναικολογίας και έχει αποκλειστικά ενημερωτικό χαρακτήρα. Για οποιαδήποτε πληροφορία, σύμπτωμα ή απορία που αφορά την υγεία σας, την κύηση ή τη γυναικολογική σας φροντίδα, θα πρέπει να απευθύνεστε στον ιατρό σας ή σε άλλο κατάλληλα εξειδικευμένο επαγγελματία υγείας.

InUtero | Κλινική Μητέρας-Εμβρύου
All rights reserved ©